Khabar Dabali २९ मंसिर २०८२ आईतवार | 14th December, 2025 Sun
Investment bank

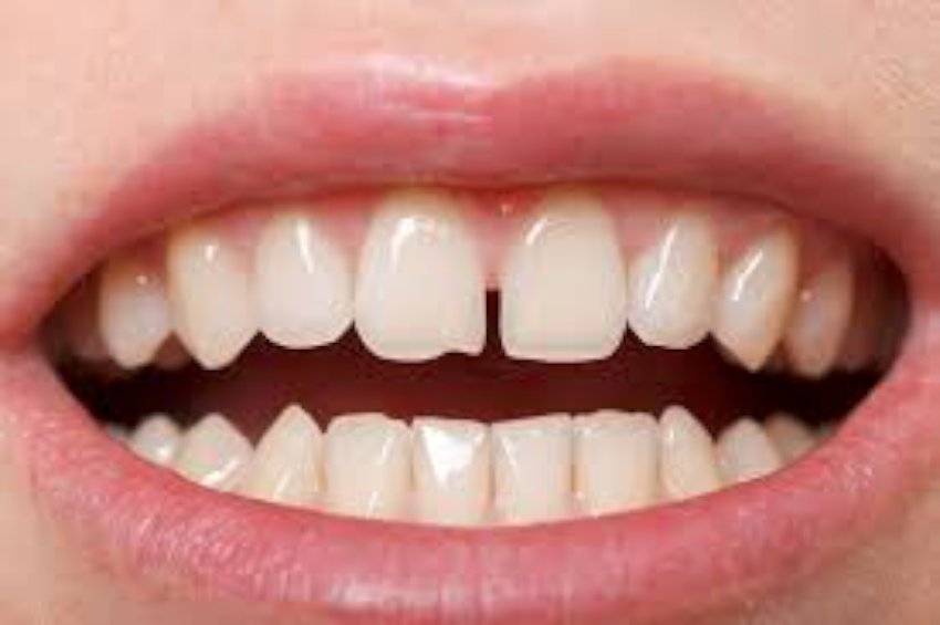
छिद्रा परेका दाँत हुने मानिस लक्षिणकाे हुन्छन् ?

सुन्दर दाँतहरू कसलाई मन नपर्लान् । टम्म मिलेका दन्तलहरले मानिसको सौन्दर्यलाई त्यसै बढाइदिन्छ । तर धेरै मान्छेहरूका दाँतहरू छिद्रा परेका अर्थात बीचमा खाली ठाउँ भएका हुन्छन् । यस्ता दाँत हेर्दा केही अनाकर्षक देखिए पनि समुद्रशास्त्रले भने यस्ता मानिसहरूमा विशेष गुणहरू विद्यमान रहने मान्दछ । यस्ता मानिसहरू भाग्यशाली हुने र हरेक क्षेत्रमा सफल हुने दाबी समुद्रशास्त्रले गर्दै आएको छ । यस्ता मानिसहरूमा के कस्ता विशेषता हुन्छन् त भन्नेबारे केही जानकारी हामीले जम्मा गरेका छौंस् १. समुद्रशास्त्रका अनुसार समान आकारका र चम्किला दाँत भएका मानिसले आफ्नो जीवन सुखपूर्वक व्यतित गर्ने बताइएको छ । २. समान आकारका दाँत भएका मानिस रचनात्मक हुने र उनीहरूलाई आफ्नो पैसा कसरी सम्हालेर राख्ने भन्ने कुरा राम्ररी आउने बताइन्छ । ३. दाँतको बीचमा खाली ठाउँ भएका मानिस बुद्धिमान हुने गर्दछन् । ४. यस्ता मानिस उर्जावान् हुने र ठुल्ठुला उपलब्धि हासिल गर्ने खालका हुन्छन् । ५. दाँतहरूको बीचमा खाली ठाउँ हुने मानिस आँटिला र कहिल्यै हार नमान्ने खालका हुन्छन् । उनीहरू सधैँ खुसी रहन मन पराउँछन् र समस्याहरूले घेर्दा पनि उनीहरू हरेस खाँदैनन् । ६. यस्ता मानिस खुबी कुरौटे पनि हुन्छन् र कुनै पनि विषयमा घन्टौ कुरा गर्न सक्छन् । ७. दाँतहरूको बीचमा खालि ठाउँ हुने मानिस खुल्ला विचारका हुन्छन् र खुबी हँसिलो स्वभावका हुन्छन् । ८. यदि यस्ता मानिस जागिरे छन् भने तिनीहरूले जागिरमा राम्रो प्रगति स.गर्ने सम्भावना रहेको हुन्छ । ९. यस्ता दाँतहरू भएका मानिस खानपिनका सौखिन हुने गर्दछन् त्यसैले उमेर बढ्दै जाँदा उनीहरू मोटाउँदै जाने उत्तिकै सम्भावना रहने गर्दछ । १०. यस्ता दाँत भएका मानिस बुद्धिमान हुन्छन् । उनीहरू पैसासँग सम्बन्धित निर्णयहरू निकै सोचविचार गरेर गर्ने हुनाले उनीहरुलाई पैसा सम्बन्धि समस्या खासै पर्ने गरेको पाइँदैन ।
kabar dabali-P

aplly description here...

बादलसहितका मन्त्रीलाई ओली सरकारबाट फिर्ता हुन माओवादीको निर्देशन

काठमाडौँ । नेकपा माओवादी केन्द्रले गृहमन्त्री रामबहादुर थापा बादलसहित ओली सरकारमा रहेका मन्त्रीहरुलाई फिर्ता हुन निर्देशन दिएको छ । शनिबार बसेको स्था...

५० प्रतिशतको रेसियोमा भागबन्डा गरि पार्टी संगठनलाई पूर्णता दिँदै प्रचण्ड-नेपाल

काठमाडौं । नेपाल कम्युनिष्ट पार्टी नेकपाको प्रचण्ड-नेपाल पक्षले संगठनात्मक संरचनालाई पूर्णता दिने गरी मापदण्ड बनाएको छ। प्रचण्ड–माधव पक्षका शीर्ष नेत...

नयाँ जनादेशमा जान प्रतिनिधिसभा विघटन भयो : उद्योगमन्त्री

कैलाली । उद्योग, वाणिज्य तथा आपूर्तिमन्त्री लेखराज भट्टले नयाँ जनादेशमा जानका लागि प्रतिनिधिसभा विघटन गरिएको बताएका छन् । प्रेस सङ्गठन नेपालले आज यहा...

भक्तपुरबाट लागूऔषधसहित एक भारतीय पक्राउ

भक्तपुर । लागूऔषध बिक्रीका लागि लैजाँदै गरेका अवस्थामा प्रहरीले भक्तपुर नगरपालिका–१ सल्लाघारीस्थित इवामुरा अस्पताल अगाडिको सडकबाट आज एक भारतीयलाई पक्...

मुख्यमन्त्री राईविरुद्ध अविश्वास प्रस्ताव पेश, फागुन २० सम्मका लागि बैठक स्थगित

विराटनगर । प्रदेश नम्बर १ का मुख्यमन्त्री शेरधन राईविरूद्ध सदनमा अविश्वासको प्रस्ताव पेश भएको छ। आइतबार अबेर गरी बसेको प्रदेश संसद वैठकमा इन्द्रबहादु...

इमानबाट च्यूत मान्छे अपराधी हुन्छः प्रधानमन्त्री ओली

काठमाडौं । प्रधानमन्त्री केपी शर्मा ओलीले पूर्वजको वीरगाथाको स्मरण र सम्मान मात्र नगरी तिनको भावनाको अनुसरण गर्न पनि आह्वान गरेका छन्। सैनिक मुख्यालय...

नेपालले खरिद गरेको १० लाख डोज खोप काठमाडौं आइपुग्यो

काठमाडौँ । नेपाल सरकारले भारतबाट खरिद गरेको कोभिड–१९ विरुद्धको १० लाख डोज ‘कोभिशिल्ड’ खोप आइपुगेको छ । आइतबार एयर इन्डिया दिल्लीको विमानबाट सेरम इन्स...

निर्वाचनबाट नै अहिलेको राजनीतिक तरलता हट्छ : अध्यक्ष थापा

झापा । राष्ट्रिय प्रजातन्त्र पार्टीका अध्यक्ष कमल थापाले अहिलेको सङ्कट समाधानको माध्यम निर्वाचन नै भएको र यसलाई राजनीतिक दलले अवसरका रुपमा लिनुपर्ने ...

संसद बिघटनलाई सोच्नै पर्ने बाध्यात्मक अवस्थामा लिएका छौ : सिके राउत

भैरहवा । जनमत राष्ट्रिय पार्टीका राष्ट्रिय अध्यक्ष सीके राउतले प्रतिनिधिसभा विघटनलाई सोच्नै पर्ने बाध्यात्मक अवस्थाका रूपमा लिएको बताएका छन् । रूपन्द...

इजरायली स्वास्थ्य मन्त्रालयले भन्यो : फाइजरको खोप ९५.८ प्रतिशत प्रभावकारी

जेरुसेलम । इजरायलको स्वास्थ्य मन्त्रालयले कोरोनाभाइरस विरुद्धको फाइजरको खोपको प्रभावकारिता करिब ९६ प्रतिशत रहेको जनाएको छ । इजरायलमा सरकारले व्यापक ख...

अरु धेरै
Vianet Nepal Internet
world Link Nepal
Alphabet Education Consultancy

प्रतिकृया लेख्नुहोस्:

NIBL RIGHT SIDE Salt Trending